top of page
Musculoskeletal Physiotherapy
Musculoskeletal Physiotherapy
Musculoskeletal Physiotherapy
Musculoskeletal Physiotherapy
Musculoskeletal Physiotherapy
Musculoskeletal Physiotherapy
Musculoskeletal Physiotherapy
Musculoskeletal Physiotherapy
Musculoskeletal Physiotherapy
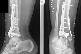
Post Operation Strengthening

.jpg)

Bespoke, Targeted and Progressive Exercises for Mobility, Strengthening Balance and Proprioception post surgery, fracture and fracture repair.
ACUTE, INTERMEDIATE AND LATE PHASE OF RECOVERY.
bottom of page
